相模原の歯医者 / 土曜日も17時まで診療
認定医による“健口作り”
精密な治療から、
予防・口腔機能管理まで
相模原駅の歯医者【相模原いとう歯科】
〒252-0232 神奈川県相模原市中央区矢部1丁目1-12
-
日本補綴歯科学会認定医在籍
-
クレジットカード可
-
土曜診療/17時まで
相模原駅の歯医者【相模原いとう歯科】
〒252-0232
神奈川県相模原市中央区矢部1丁目1-12
-
日本補綴歯科学会認定医在籍
-
クレジットカード可
-
土曜診療/17時まで
ご予約・ご来院の前に
ご確認ください
当院のHPをご覧いただきありがとうございます。
お手数ですが、下記の住所・最寄り駅を改めてご確認のうえ、ご来院ください。
神奈川県相模原市中央区矢部
1丁目1-12
横浜線「相模原駅」徒歩10分
JR横浜線「矢部駅」徒歩10分
診察券アプリについて
当院では、診察券アプリ「Dental E」を導入しています。
事前の登録で、来院時の受付がスムーズになりますので、お手数ですが、ダウンロードをした上でお越しいただくようにお願いいたします。
ご家族の診察券もまとめて管理でき、予約スケジュールをいつでもスマートフォンでご確認いただけるようになります。
information
相模原の歯医者|相模原いとう歯科
土曜日も診療している
相模原・矢部の歯医者
平日は毎日、土曜日も
診療している歯医者です。
JR横浜線「相模原」駅・
「矢部」駅から徒歩10分。
近隣に提携駐車場もございます。
急な歯の痛みや検診など
お口周りのお悩みは
お気軽にご相談ください。
| 診療時間 | 月 | 火 | 水 | 木 | 金 | 土 | 日 |
|---|---|---|---|---|---|---|---|
| 9:00-13:00 | ● | ● | ● | ● | ● | ● | ━ |
| 14:00-17:00 | ● | ● | ● | ● | ● | ● | ━ |
休診日日曜・祝日



生涯、美味しく食べられる
豊かな人生を
“健口づくり”からサポートする
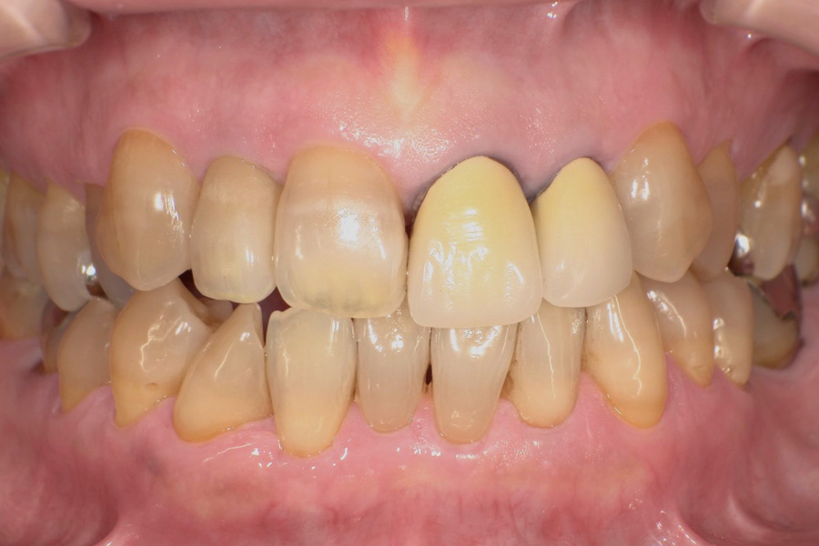
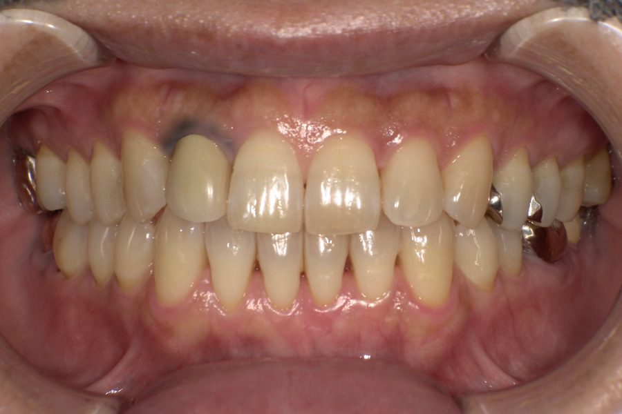
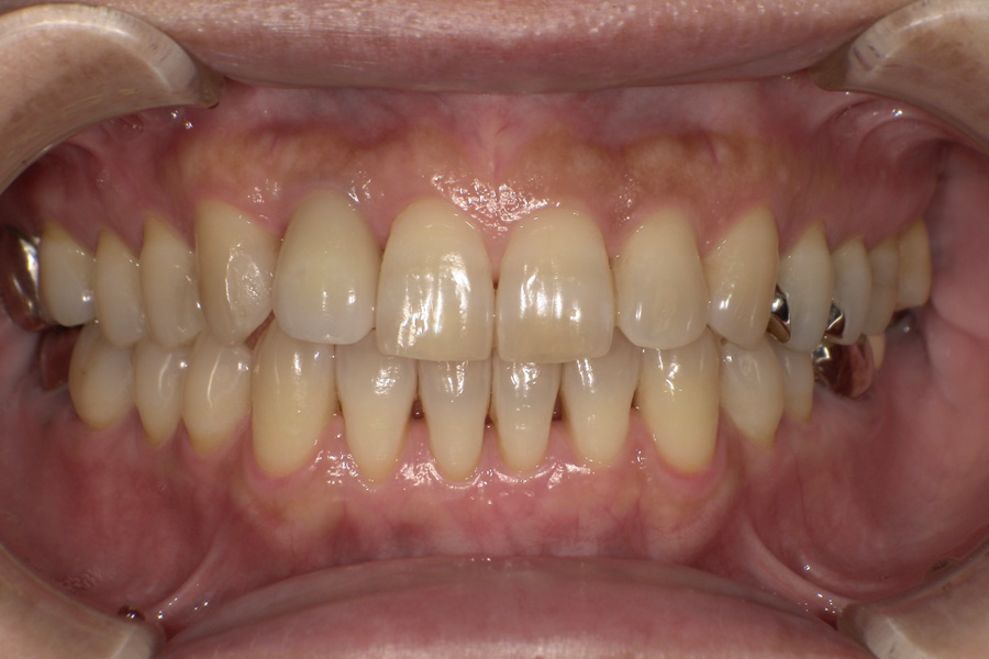
正しい診査診断、的確な治療をすることで、
歯だけでなく全身の健康に繋がります。
虫歯があるから削ったり悪くなったから抜くのではなく、まずは虫歯と歯周病が起きないようにより良い環境づくりをすること、そうすることによって歯を長く維持することが可能となります。
そのためには、健康状態に関する情報と生活習慣などの状況を把握したうえで、お口の中のリスク評価をおこないます。
その結果をもとに、お一人お一人にあった治療計画をご提案させていただきます。
ご自分の歯で食べ、話し、笑える幸せを生涯にわたり維持するためのお手伝いを全力でさせていただきます。
feature
相模原の歯医者|相模原いとう歯科
相模原いとう歯科の
6つの特徴
患者さまに安心して来院、治療を受診いただけるよう、限りなく痛みのない歯科治療を目指しています。相模原エリアにて平日は毎日、土曜日も17時まで診療しております。お口周りでのお困りごとお悩みがございましたら、お気軽にご相談くださいませ。
-
FEATURE
01.
-
FEATURE
02.
-
FEATURE
03.
-
FEATURE
04.
-
FEATURE
05.
-
FEATURE
06.
doctor
相模原の歯医者|相模原いとう歯科
いとう歯科
院長より皆さまへ
kyosuke ito
伊藤 恭輔
いとう歯科 院長
日本補綴歯科学会 認定医
初めまして、歯科医師の伊藤 恭輔(いとう きょうすけ)です。
「からだの健康は、お口の健康から」
お口の健康は一生涯続く重要なテーマです。
お口の状態が悪いと、美味しいものが食べられなかったり、人と上手く話せなくなったり、お仕事に影響がでたりするだけではなく、からだの調子が悪くなったりと全身にも悪影響がでてきます。
そのため、からだの健康を守るためにも、お口の健康は重要になります。
「痛くなったら歯医者に行く」ではなく、「健康でいるために歯医者に行く」。
生涯お付き合いできるような歯医者として、
ご自分の歯で食べ、話し、笑える幸せが普通でありつづけるように、健口づくりを全力でお手伝いさせていただきます。
経歴
- 山形県立米沢興譲館高等学校 卒業
- 新潟大学歯学部 卒業
- 新潟大学医歯学総合病院
歯科研修医 修了 - 新潟大学大学院医歯学総合研究科
修了、博士号取得 - 新潟大学医歯学総合病院 医員
- 相模原市緑区にて分院長として勤務
所属学会・資格
- ・日本補綴歯科学会 認定医
- ・有床義歯学会 認定医
- ・日本顎咬合学会 認定医
- ・BPS認定医
- ・第一種歯科感染管理者
treatment
相模原の歯医者|相模原いとう歯科
相模原いとう歯科の
診療メニュー
facility
相模原の歯医者|相模原いとう歯科
相模原いとう歯科の
設備紹介
完全個室の診療室や精密な治療のためのマイクロスコープをはじめとして歯科治療を円滑に正確に行なうための機器を取り入れています。 相模原エリアで院内設備に力を入れている歯医者です。




























